Sfot Surgery Helps Patients With Severe Orthodontic Complications

Sfot Surgery Helps Patients With Severe Orthodontic Complications

Orthodontic Oral surgery kit - Pissco

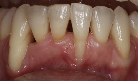
In dentistry, Surgically Facilitated Orthodontic Therapy (SFOT) is an advanced procedure that pinpoints the underlying problems of insufficient alveolar bone and compromised arch forms to optimally. SFOT stands for Surgically Facilitated Orthodontic Therapy. It’s a specialized periodontal procedure that prepares your mouth for orthodontic movement by enhancing the health and thickness of the bone. Surgically facilitated orthodontic therapy (SFOT) is a group of orthodontic procedures; they can be broadly divided into two main categories. [1] The less invasive type uses alveolar corticotomies and. Jan 3, 2026 · Guide to SFoT covers Six Flags Over Texas history, attractions, and tips—your go-to source for park updates, news, and archival features. Surgically facilitated orthodontic therapy is a a surgical procedure performed under the gums to add bone prior to orthodontic treatment, in order to prepare the jaw bones for tooth movement.

Summary: SFOT creates a demineralized bone matrix and augments dentoalveolar deficiencies in the management of dentofacial disharmony malocclusion. Numerous indications and contraindications.

Orthodontic Treatment - Howe Dental - Vancouver, B.C

Orthodontic Treatment - Howe Dental - Vancouver, B.C

Orthodontic Pamphlets For Patients Dental Brochure Templates

Orthodontic Pamphlets For Patients Dental Brochure Templates

Read also: These Live Dental Ce Courses Online Are Surprisingly Immersive

close