The Controversy Over Lower Anterior Crowding And Orthodontics
The meaning of CONTROVERSY is a discussion marked especially by the expression of opposing views : dispute. How to use controversy in a sentence. In the theory of law, a controversy differs from a legal case; while legal cases include all suits, criminal as well as civil, a controversy is a purely civil proceeding. CONTROVERSY definition: 1. a lot of disagreement or argument about something, usually because it affects or is important to.. Learn more. Controversy is a lot of discussion and argument about something, often involving strong feelings of anger or disapproval. The proposed cuts have caused considerable controversy. .a fierce. 1. A dispute, especially a public one, between sides holding opposing views. 2. The act or practice of engaging in such disputes: writers skilled at controversy.
Controversy refers to a widespread disagreement, debate, or dispute surrounding a particular topic, issue, event, or decision. It involves opposing views and opinions that often lead to. controversy: A dispute, especially a public one, between sides holding opposing views. Jan 20, 2026 · Noun controversy (countable and uncountable, plural controversies) A debate or discussion of opposing opinions; (generally) strife. Synonyms: see Thesaurus: dispute. A controversy is a dispute or argument in which people express strong opposing views. When a popular TV show kills off a well-loved character, there's bound to be a lot of controversy.
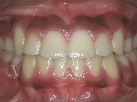
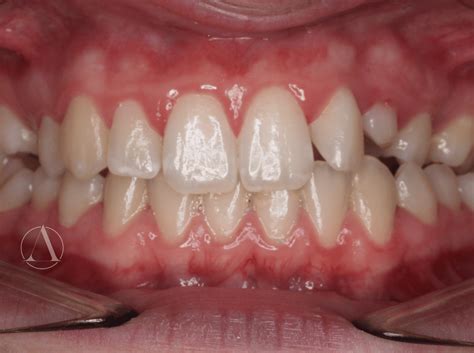
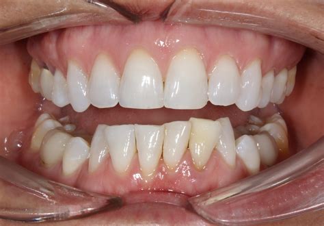
Crooked Teeth on the Lower Jaw, Crowding of Teeth in the Anterior Part ...
